Chuyên gia WHO nêu cách xác định triệu chứng hậu COVID-19
Đa số các triệu chứng hậu COVID-19 thường kéo dài từ 2 tháng trở lên. Nếu các triệu chứng biến mất trong vòng 1 tháng, không được coi là hậu COVID-19.
Trong bài viết đăng tải trên tạp chí Times of India cuối tuần qua, Tiến sỹ Janet Diaz, Trưởng nhóm Quản lý lâm sàng tại Tổ chức Y tế Thế giới (WHO) cho biết đa số các triệu chứng hậu COVID-19 thường kéo dài từ 2 tháng trở lên.
Theo Tiến sỹ Diaz, nếu các triệu chứng biến mất trong vòng một tháng, tình trạng này không được coi là hậu COVID-19. Trong khi đó, có khoảng 200 triệu chứng bệnh xuất hiện ở giai đoạn này và phổ biến nhất là 3 triệu chứng gồm mệt mỏi, khó thở và rối loạn chức năng nhận thức gây tình trạng sương mù não (suy giảm trí nhớ, mất khả năng tập trung).

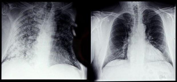
Phim chụp Xquang phổi của bệnh nhân COVID-19 (trái) và phổi của người bình thường tại bệnh viện ở Magdeburg, miền đông nước Đức, ngày 28/4/2021. (Ảnh: AFP/ TTXVN)
Ngoài ra, giới chuyên môn cũng đề cập tới các bất thường tim mạch. Cụ thể, kết quả nghiên cứu các bệnh nhân COVID-19 ở Mỹ trong vòng 1 năm sau khỏi bệnh cho thấy, nguy cơ tim mạch ở nhóm này tăng lên với các dạng như đột quỵ, nhồi máu cơ tim cấp, cục máu đông, có nguy cơ gây tử vong.
Tiến sỹ Diaz khuyến nghị cần đi khám sức khỏe nếu vẫn gặp phải các triệu chứng hậu COVID-19 sau 3 tháng nhiễm bệnh, hay còn gọi là tình trạng COVID kéo dài (long COVID).
Theo chuyên gia WHO, không có phương pháp điều trị chung cho mọi trường hợp mà phải tập trung vào các triệu chứng của từng người. Hiện không có bất kỳ loại thuốc nào để điều trị biến chứng hậu COVID-19 nhưng có các biện pháp can thiệp như phục hồi chức năng, cải thiện chất lượng cuộc sống…
Ngoài ra, những người từng mắc COVID-19 nên hạn chế vận động, tránh làm việc quá sức nếu còn mệt mỏi hoặc gặp tình trạng sương mù não, bên cạnh đó, nên tham khảo ý kiến kịp thời từ bác sĩ để có những điều chỉnh phù hợp.
Trong khi đó, tờ New Zealand Herald số ra ngày 14/3 đăng bài viết tổng hợp ý kiến của các chuyên gia tại Anh nhằm giúp cải thiện các triệu chứng hậu COVID-19.
Theo bài viết, một nghiên cứu của Đại học Birmingham đầu năm nay cảnh báo các triệu chứng bệnh khiến người bệnh tìm đến những phương pháp điều trị đắt tiền không có căn cứ khoa học trên mạng Internet và thậm chí nguy hiểm tính mạng. Tuy nhiên, giới chuyên môn nêu rõ, có những phương pháp đơn giản, ít tốn kém và an toàn mà tất cả mọi người đều có thể thực hiện.
Để cải thiện tình trạng sương mù não, Tiến sỹ David Strain, giảng viên lâm sàng cao cấp tại Đại học Exeter cho rằng có thể huấn luyện não bộ bằng cách thực hiện các hoạt động kích thích nhận thức, như chơi đố chữ, học ngôn ngữ mới…
Ngoài ra, cần tăng tương tác xã hội thường xuyên và hạn chế tối đa tình trạng căng thẳng thần kinh.
Tiến sỹ Jeremy Rossman, giảng viên cao cấp về virus học tại Đại học Kent cho rằng người bệnh sau khi phục hồi cần nghỉ ngơi đầy đủ trong 6 tuần, uống đủ nước, đảm bảo chế độ ăn uống lành mạnh, giàu vitamin C và tập luyện thể dục thể thao nhẹ nhàng như đi bộ quãng ngắn.
Để cải thiện triệu chứng khó thở, Dịch vụ Y tế Quốc gia Anh (NHS) hướng dẫn bài tập thở sâu từ 3-5 lần mỗi ngày, theo đó thả lỏng ngực và vai, hít một hơi dài, chậm và sâu vào bên trong, qua mũi, sau đó thở ra nhẹ nhàng.
Ngoài ra, có thể tập thở theo cách hít vào chậm rãi, rồi nín thở trong 2-3 giây, sau đó thở ra nhẹ nhàng. Người tập có thể tự cảm nhận để lựa chọn cho mình phương pháp tập luyện phù hợp.
Trong khi đó, Fifth Sense - công cụ hỗ trợ người mắc chứng rối loại khứu giác – đã cùng các chuyên gia tại Đại học East Anglia lập một hướng dẫn trực tuyến về "kỹ thuật luyện khứu giác," theo đó hít ngửi một số mùi đặc biệt như cam, cà phê hoặc tỏi, ít nhất hai lần một ngày trong vài tháng để tăng khả năng nhận biết của não bộ.









